巨奢网 首页 名表图片鉴赏 查看内容

“毛肾征”带你认识Erdheim-Chester 病

2023-3-17 17:11| 发布者: fuwanbiao| 查看: 100| 评论: 0

摘要: 今天是第16个世界稀有病日,给大家引见一个稀有却让人过目成诵的疾病。病例患者,男性,47岁,中止性下肢水肿和慢性腹胀病史,患者自述“大肚子”5年。Figure 1: MRI T2加权冠状位图像显现双侧肾周有大量软组织肿块 ...

今天是第16个世界稀有病日,给大家引见一个稀有却让人过目成诵的疾病。


病例


患者,男性,47岁,中止性下肢水肿和慢性腹胀病史,患者自述“大肚子”5年。

“毛肾征”带你认识Erdheim-Chester 病


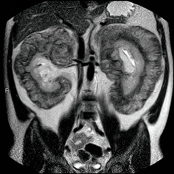
Figure 1:


MRI T2加权冠状位图像显现双侧肾周有大量软组织肿块浸润,可见“毛肾征”。


“毛肾征”带你认识Erdheim-Chester 病


Figure 2:


18F-FDG PET/CT扫描显现肾周肿块洋溢性细微放射性摄取、肝脏向上移位,其他部位无累及。


诊 断


穿刺活检示纤维结缔组织区域混杂着丰厚的组织细胞和稀少的淋巴浆细胞浸润。对组织细胞基因检测示BRAF基因发作V600E突变,诊断为 Erdheim-Chester


Erdheim-ChesterECD是一种稀有的多系统非朗格汉斯组织细胞增加症,近年来被以为是一种克隆性疾病。好发于长骨和腹膜后,肾周脂肪浸润构成典型的针状外观(即 “毛肾征”)。由于本例患者 病程长,临床病症不明显,招致肾周组织大量浸润,使经典的 “毛肾征”影像学征象变成了不典型的肿块状粗笨外观。

“毛肾征”带你认识Erdheim-Chester 病


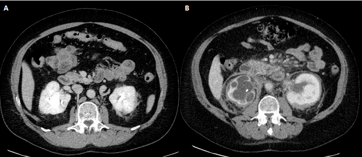
[ 另一位ECD患者 ]


图A:示肾周边疆不清的线状软组织影(“毛肾征”),双侧轻度肾积水


图B:随访9年后,肾周和肾门周围软组织浸润(“毛肾征”),病变较前明显停顿。


文献来源:


Polo-Sabau J, López-Botet-Zulueta B. Massive Perirenal Involvement in Erdheim-Chester Disease. Radiology 2021;301(2):278–278.


https://radiopaedia.org/articles/hairy-kidney-sign-erdheim-chester-disease?lang=us


·END·


全网最全的解剖图库,千万不要错过


300+神经、头颈系统超全影像文章汇总


全网最全头颅影像解剖学,不容错过(更新版)


全网最全大关节影像解剖,不容错过(更新版)


影像科急诊必备手册,必点珍藏


脊柱、脊髓解剖及常见疾病汇总(41篇)


乳腺解剖及影像学检查细致汇总


心胸系统文章汇总(132篇)


全网最全全身X线高清图谱


更多精彩医学影像内容,尽在鼎湖影像


权威医学影像公众号,欢送您的关注↓↓


↓↓ 欢送进入鼎湖学堂



路过

雷人

握手

鲜花

鸡蛋
已有 0 人参与

会员评论

 名表回收网手机版

官网微博:名表回收网服务平台

今日头条二维码 1 微信公众号二维码 1 抖音小程序二维码 1
浙江速典奢贸易有限公司 网站经营许可证 备案号:浙ICP备19051835号2012-2022
名表回收网主要专注于手表回收,二手名表回收/销售业务,可免费鉴定(手表真假),评估手表回收价格,正规手表回收公司,浙江实体店,支持全国范围上门回收手表
返回顶部