巨奢网 首页 名表图片鉴赏 查看内容

脑寄生虫病、低灌注脑梗死、基底动脉尖综合征丨3分钟读片 ...

2023-4-14 18:07| 发布者: 夏梦飞雨| 查看: 69| 评论: 0

摘要: 感谢参与的老师:周晓宇、王赏、郑学军、刘德全、徐宁、梁家辉、席晶、王娟、姜宏佺、谭小林、余昊、董彩霞、吕华东、方敬念、赵琼、刘新建、张静坤、鲍磊、刘志红、隆昱洲、刘星靓、李张霞、龚考玲、蔡卓威、郭守刚 ...

脑寄生虫病、低灌注脑梗死、基底动脉尖综合征丨3分钟读片 ...


感谢参与的老师:周晓宇、王赏、郑学军、刘德全、徐宁、梁家辉、席晶、王娟、姜宏佺、谭小林、余昊、董彩霞、吕华东、方敬念、赵琼、刘新建、张静坤、鲍磊、刘志红、隆昱洲、刘星靓、李张霞、龚考玲、蔡卓威、郭守刚、解洪荣、张文胜、许丹丹、冼海英、蓝海平、李惠明、申永国、梁新明、黄波涛


14岁,男,烦渴多尿多饮2月,否认糖尿病史。辅查:低渗性多尿,性激素中仅泌乳素升高,肝损害,双肾积水。

脑寄生虫病、低灌注脑梗死、基底动脉尖综合征丨3分钟读片 ...


病例2


26岁,女,右侧肢体无力伴意识模糊1月余。既往史:月经周期不规则,两年前停经。1年前体重增加18公斤,伴双手、脚踝对称性肿胀,面部浮肿。3月前出现多尿、多饮,空腹血糖升高,每天尿液超过10升。既往无烟酒、毒品接触史。查体:体重指数34.6,皮肤、口腔粘膜、甲床苍白。皮肤干冷,双侧手、脚踝水肿,阴毛稀疏。神经查体:昏睡,表达性失语症。右侧周围性面瘫,右上肢完全瘫痪,右下肢部分瘫痪。左侧肌力正常。右侧腱反射消失,左侧腱反射正常。右侧病理征阳性,左侧病理征阴性。无感觉异常。辅查:贫血,高钠血症伴低渗性多尿。血糖高,甲减,性激素示FSH、LH、PRL降低。ESR、CRP升高,狼疮、干燥等风湿抗体阴性。

脑寄生虫病、低灌注脑梗死、基底动脉尖综合征丨3分钟读片 ...


答案:朗格汉斯细胞组织细胞增生症。朗格汉斯细胞组织细胞增生症是一组少见的瘤样病变,发生在骨组织的反应性、非肿瘤性、增生性疾病。多见于20岁以下青少年。其临床表现:骨骼病损、皮肤黏膜损害、淋巴结损害、肝脏及脾脏损害、肺脏损害、女性生殖系统损害、内分泌系统损害、其他表现(长期发热、胃肠道受累、中枢神经系统受累等)。影像:1)中枢神经系统:矢状位可发现垂体后叶T1WI高信号消失。部分病人可见垂体柄增粗或下丘脑孤立性强化结节。2)呼吸系统:胸部CT:双肺多发结节并弥漫分布大小不一囊性病变,中上肺野为著,囊壁厚薄不规则。4、活检:1)光镜:朗格汉斯细胞灶状或片状排列是本病的特征;2)电镜:朗格汉斯细胞中特有的Birbeck颗粒;3)免疫组化:S2100蛋白阳性、CD1a(冷冻切片)或MAb010(石蜡切片)阳性为其特征。


病例3


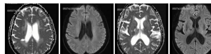
女性,62岁,智能下降2年,寡言少语、表情淡漠2天。近记忆力下降为主,缓慢加重,生活能自理,查体:P113次/分,BP173/113mmHg,可见记忆力、计算力下降,余未见异常。检验结果提示轻度贫血、血钾稍低。患者入院前MRI如下:

脑寄生虫病、低灌注脑梗死、基底动脉尖综合征丨3分钟读片 ...

脑寄生虫病、低灌注脑梗死、基底动脉尖综合征丨3分钟读片 ...


病例4


33岁,男性,视物模糊2月,发现白细胞偏低半年,1-2×10^9/L血清梅毒(+),比率1:1,有核细胞6,压力及蛋白正常。患者颅脑MRI如下:

脑寄生虫病、低灌注脑梗死、基底动脉尖综合征丨3分钟读片 ...


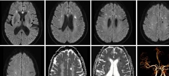
病例5


62岁,男,发热、对答不切题10天,患者颅脑MRI如下:

脑寄生虫病、低灌注脑梗死、基底动脉尖综合征丨3分钟读片 ...


病例6


女,25岁,未婚,主因“突发意识丧失14小时”入院。患者14小时前(12:10)突发意识丧失,呼之不应,无四肢抽搐,约4-5分钟后送至当地医院查颈动脉搏动消失,自主呼吸消失,立即予以心肺复苏及电除颤(具体不详),12:47分转至无锡市锡山人民医院急诊,查体双瞳散大,颈动脉搏动消失,血压脉搏测不出,继续予以心脏按压、肾上腺素、电除颤、艾司洛尔、去甲肾上腺素等抢救措施。复苏时间约为70分钟。13:20患者恢复自主心律,心率约130-140次/分,并予去甲肾上腺素60ug/min持续静脉泵入下血压维持在100/60mmHg。既往史:9年前曾患有“病毒性心肌炎”。

脑寄生虫病、低灌注脑梗死、基底动脉尖综合征丨3分钟读片 ...


病例7


男性,29岁,反复头痛1月余,左侧肢体无力13天。

脑寄生虫病、低灌注脑梗死、基底动脉尖综合征丨3分钟读片 ...


病例8

脑寄生虫病、低灌注脑梗死、基底动脉尖综合征丨3分钟读片 ...


病例9


17岁,感冒后言语不清,曾有部分缓解2天入院。2天后失语,言语不能,精神萎靡。查体:张口伸舌不能,四肢肌张力正常,腱反射略低,无病理征。腰穿正常。

脑寄生虫病、低灌注脑梗死、基底动脉尖综合征丨3分钟读片 ...


病例10


女,60岁,眶后头痛2月,视力下降伴复视4天。

脑寄生虫病、低灌注脑梗死、基底动脉尖综合征丨3分钟读片 ...


答案:颈内动脉-海绵窦瘘。狭义的颈内动脉海绵窦瘘(CCF)通常指的是颈内动脉海绵窦段的动脉壁或其分支发生破裂,以致与海绵窦之间形成异常的动静脉交通,而广义的CCF还包括海绵窦的硬脑膜动静脉瘘。Barrow等在1985提出了广义的CCF分型,分别为:A型,颈内动脉直接与海绵窦相交通;B型,颈内动脉分支与海绵窦相交通;C型颈外动脉分支与海绵窦相交通;D型即B+C,颈内和颈外动脉都通过其脑膜支与海绵窦相通,常有双侧同时供血。临床工作中,由于治疗理念和方法上存在区别,目前通常将BarrowA型单列为CCF,又称直接型颈动脉海绵窦瘘(狭义CCF),而B、C和D型统称为海绵窦硬脑膜动静脉瘘。CCF可分为外伤性和自发性。外伤性CCF较为常见,通常见于交通事故中伴有颅底骨折的外伤患者,颞骨和蝶骨的骨折碎片刺破海绵窦段颈内动脉壁,骨折片吸收后而出现CCF。因此CCF的症状通常发生于外伤后数周或数月。


CCF的症状与瘘口的流量以及引流方式有关。根据典型的病史及体征,CCF的临床诊断通常并无疑问,CTA/MRA有助于进一步明确诊断和鉴别诊断。DSA则是诊断的金标准,也为治疗提供了详尽的血管结构学和血流动力学信息。


病例11


女性,71岁,因双下肢无力7天入院,既往高血压、心房颤动病史。

脑寄生虫病、低灌注脑梗死、基底动脉尖综合征丨3分钟读片 ...


病例12


左侧肢体无力2天。

脑寄生虫病、低灌注脑梗死、基底动脉尖综合征丨3分钟读片 ...


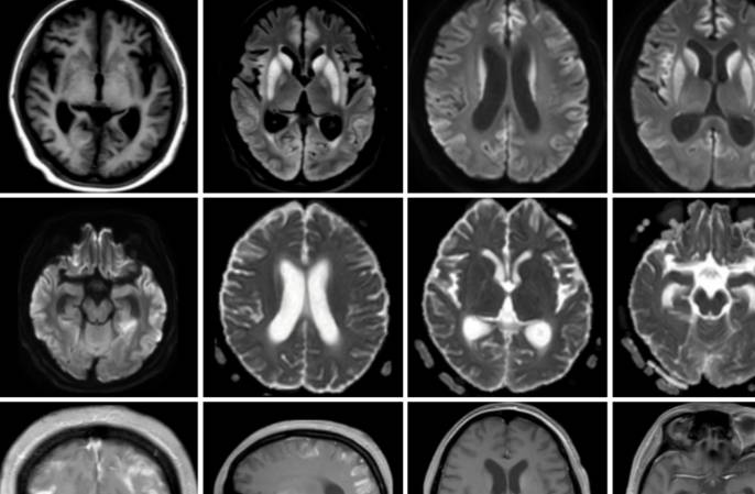
病例13


女,35岁,体检发现头颅MR异常。

脑寄生虫病、低灌注脑梗死、基底动脉尖综合征丨3分钟读片 ...


病例14


男,50岁,因记忆力下降入院。

脑寄生虫病、低灌注脑梗死、基底动脉尖综合征丨3分钟读片 ...


参考文献:


1.冯玉花.急性低灌注性脑梗死16例临床分析.医药论坛杂志,2016(7):139-140.


2.黄文盛。生动形象的「米老鼠耳朵」——双侧大脑脚梗死.汕头大学医学院附属第一医院医脉通


4.经对侧岩下窦-海绵间窦途径栓塞颈动脉海绵窦瘘一例.浙二神外周刊.


5.李德泰,肖立志,彭德红.儿童脑裂头蚴病的影像诊断及鉴别诊断.放射学实践.2012.



路过

雷人

握手

鲜花

鸡蛋
已有 0 人参与

会员评论

 名表回收网手机版

官网微博:名表回收网服务平台

今日头条二维码 1 微信公众号二维码 1 抖音小程序二维码 1
浙江速典奢贸易有限公司 网站经营许可证 备案号:浙ICP备19051835号2012-2022
名表回收网主要专注于手表回收,二手名表回收/销售业务,可免费鉴定(手表真假),评估手表回收价格,正规手表回收公司,浙江实体店,支持全国范围上门回收手表
返回顶部