巨奢网 首页 名表图片鉴赏 伯爵 查看内容

这是一次医疗与科技的完美融合

2023-8-7 09:16| 发布者: fuwanbiao| 查看: 457| 评论: 0

摘要: 人类发展史是一部创新史。1895年伦琴发现X射线,几周后,第一台X光机便在荷兰正式亮相,它使得人类在没切口的情况下,观看人体内部。1999年,全球首台口腔CBCT面世,大量应用于临床。口腔诊疗从二维到三维,实现了雾 ...

人类发展史是一部创新史。


1895年伦琴发现X射线,几周后,第一台X光机便在荷兰正式亮相,它使得人类在没切口的情况下,观看人体内部。1999年,全球首台口腔CBCT面世,大量应用于临床。口腔诊疗从二维到三维,实现了雾里看花到精准判断的跨越式体验。


悉数历史,科技的创新推动着时代的车轮滚滚向前。科技,医疗,两者并肩出现似乎已不足为奇。而在口腔领域,如何赋予科技以温度?打造人性化诊疗这是一个真命题,也是我们正在做的事情。


与国际顶尖的研发团队合作,在美国设立研发中心,并且芝加哥大学,密歇根大学设立研究项目


历时7年,伯爵3合1口腔CBCT横空出世。如今这款口腔CT,已赋能上千名牙医,并在前不久获得欧盟CE认证,正式冲向海外。


这是一次医疗与科技的完美融合


(图:伯爵CBCT四大特点)


这是一次医疗与科技的完美融合


-AI赋能,纤毫毕现-


伯爵CT采用人工智能技术,超清影像与高效率操作完美共存


打造精准数字化开端


01 多聚焦全景,让摆位不再是难题


全景片由于其原理原因导致对患者拍摄摆位很高,一旦摆位不佳,易出现各种伪影,从而导致前牙不清晰,牙齿失真变形,组织重叠等。


伯爵3合1口腔CBCT采用多聚焦全景技术,一次生成5张全景片,兼容更多摆位不佳导致的影像问题, 上下前牙更清晰


这是一次医疗与科技的完美融合


(图:伯爵3合1口腔CT全景片)


02 智能去伪影,去伪存真


物理原理导致的金属伪影一直是CT成像局限之一。


伯爵CT采用迭代重建算法,能极大程度上抑制金属伪影的发生,去伪存真,保留影像真实信息。诊断上减少虚假信息干扰的同时,为数字化提供了更精准的数据。


这是一次医疗与科技的完美融合


(图:伯爵去伪影效果)


03 智能3D全景定义新影像


伯爵CBCT可以沿着牙弓形态及牙齿的生理弧度, 自动计算出33张断层全景片,并可以以动画形式展示出来,对医患沟通特别有帮助。


通过AI计算出来的智能3D全景片,患者能很清楚看到自己的颌骨及牙齿情况,对于医生来说,也能极大程度上提高诊断效率。


这是一次医疗与科技的完美融合


(图:智能3D全景原理)


这是一次医疗与科技的完美融合


(图:33张断层全景,每张厚度精细至0.8mm)


这是一次医疗与科技的完美融合


-智能软件,高效工作-


病灶精准狙击+治疗方案预先知晓


更聪明的软件带来不一样诊疗体验


01 全方位细微切片,精准定位


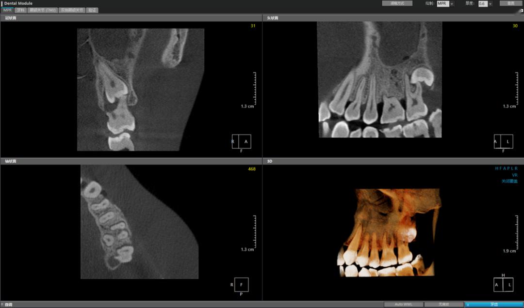
最低70 μm体素 的小视野CT影像搭配OnDemand3D软件,超薄层厚影像触手可及,牙体牙髓诊疗更安心!


这是一次医疗与科技的完美融合


(图:伯爵新境界CT影像)


02 种植模拟让手术更便捷


专业软件实现修复为导向的种植模拟,功能与美学两者兼得。


从牙槽骨骨质骨量测量,到根据上下颌咬合关系模拟虚拟牙冠,再到种植体型号选择,最后到种植体基台选择,手术过程全方位设计,降低手术风险,增强医患沟通。


这是一次医疗与科技的完美融合


(图:种植体型号超1万多种,色差对比度的骨密度查询)


-主动服务,舒心售后-


实时掌握设备运行状态,工程师always online


您身边的贴心服务


01 远程故障预警全天守候


实时监测设备硬件运行状态(不会监测任何软件数据信息),包括设备运行环境的温度,湿度,球管工作时的温度.....设备维护就在您的身边。


这是一次医疗与科技的完美融合


(图:伯爵CT搭载远程故障预警系统)


02 常州工厂备件,专业工程师随时响应

这是一次医疗与科技的完美融合


(图:一个中心,十个基地)


03 多重培训助设备使用率最大化


拥有 装机培训临床应用培训及各种大小型影像培训班加成,您买的不是CT,而是能帮助临床诊疗的解决方案。

这是一次医疗与科技的完美融合


(图:部分装机及培训现场图片)


这是一次科技与医疗的完美融合,


赋予科技以温度,助力临床,


为牙医赋能,


保护大众口腔健康,


是我们正在做的事情,


也是我们会一直做下去的事情。



路过

雷人

握手

鲜花

鸡蛋
已有 0 人参与

会员评论

 名表回收网手机版

官网微博:名表回收网服务平台

今日头条二维码 1 微信公众号二维码 1 抖音小程序二维码 1
浙江速典奢贸易有限公司 网站经营许可证 备案号:浙ICP备19051835号2012-2022
名表回收网主要专注于手表回收,二手名表回收/销售业务,可免费鉴定(手表真假),评估手表回收价格,正规手表回收公司,浙江实体店,支持全国范围上门回收手表
返回顶部