巨奢网 首页 名表图片鉴赏 查看内容

弥漫性肺囊性病变的鉴别诊断

2023-10-3 11:03| 发布者: fuwanbiao| 查看: 184| 评论: 0

摘要: Bruno Guedes Baldi1, Carlos Roberto Ribeiro Carvalho1, Olívia Meira Dias1, Edson Marchiori2,3, Bruno Hochhegger4,5,6翻译:大连结核病医院 王鲲鹏 审核:青岛市第九人民医院 姜春雷摘 要 弥漫性肺囊性疾病是 ...

Bruno Guedes Baldi1, Carlos Roberto Ribeiro Carvalho1, Olívia Meira Dias1, Edson Marchiori2,3, Bruno Hochhegger4,5,6


翻译:大连结核病医院 王鲲鹏


审核:青岛市第九人民医院 姜春雷


摘 要


弥漫性肺囊性疾病是多个肺叶囊肿特征,囊肿产生的机制多种多样,包括气道阻塞导致远端气扩张、气道壁坏死和实质破坏,这些疾病的进展不尽相同HRCT评估这些疾病的必不可少的工具,因为它可以评价肺囊性病变的特征( 包括其分布、大小和长径)评估囊肿壁是否规则,以及识别相关的肺和肺外病变。结合临床和实验室检查时,HRCT 常足以明确弥漫性肺囊性病变的病因,避免了不必要的肺活检。弥漫性囊性肺疾病的鉴别诊断有很多,包括肿瘤、炎症和感染性病因。肺朗格汉斯组织细胞增多症(PLCH)、淋巴管平滑肌瘤病(PLAM)、淋巴细胞间质性肺炎(LIP)和滤泡性细支气管炎(FB)是最常见的几种病因,其他疾病也可能会这种CT表现。


关键词囊肿; 诊断,鉴别;肺部疾病,间质;CT 扫描


简 介


囊肿的定义:囊肿是由不同厚度的上皮或纤维壁包围的圆形区域。胸部CT 显示,囊肿是肺实质中低密度的区域,与邻近正常肺组织分界清楚,含有空气,偶也会出现液体或固体内容物1 。肺囊肿的形成机制多种多样,如气道梗阻伴远端空腔扩张( 活瓣机制)、气道壁坏死、蛋白酶破坏肺实质等。2 弥漫性肺囊性疾病的特征是囊肿出现在多个肺叶,通常是双侧性。


HRCT帮助诊断弥漫性肺囊性疾病,因为它能识别囊肿特性( 包括们的分布) 和相关伴随的病变( 包括评估肺外的变化),缩小鉴别诊断范围,避免不必要的肺活检(3)


弥漫性肺囊性疾病的鉴别诊断有很多,包括肿瘤性、炎症性和感染性疾病,有不同的预后。最近,其他可能病因包括闭塞性细支气管炎和副球孢子菌病也被提出(4,5)


这篇文章目的是描述可导致弥漫性肺囊性病变的主要疾病,着重介绍其CT 表现(1)


1 .弥漫性肺囊性病变的主要病因


弥漫性肺囊性病变的鉴别诊断


弥漫性肺囊性病变的鉴别诊断


弥漫性肺囊性病变的鉴别诊断


肺朗格汉斯组织细胞增多症


(Pulmonary Langerhans cell histiocytosis)


肺朗格汉斯组织细胞增多症( PLCH) 的特点是朗格汉斯细胞主要在肺部浸润,其他器官浸润较少,导致炎症激活,并导致功能紊乱PLCH 是一种多克隆肿瘤还是炎症性疾病仍有争议。患者的平均年龄在20 岁至40岁之间,90%以上的病例与当前或以前的吸烟史有关,包括被动吸烟史。肺是最常见的受累部位,最常见的症状是运动时进行性呼吸困难,可以无症状。也可表现为发热、汗、体重减轻,以及较少见的肺外表现,如尿崩症、骨骼和皮肤损


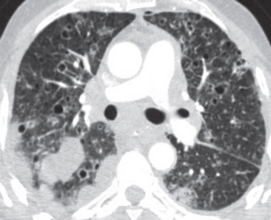
PLCH 最初的HRCT表现为小叶中心或细支气管周围结节,通常直径1-10毫米,边缘不规则。随着病情的发展,结节发生囊变。结节和囊肿常并存(图1A ),常可确诊。在晚期,囊肿占多数,数量和大小不一,不规则,形状各异,并可融合( 1B)。起初,囊肿的壁很厚,后来囊变薄。囊性病变主要发生在上叶,不累及肋膈区域( 1 c)。气胸发生率高达15%( 1D)(3,6) 推测囊肿是由细支气管壁炎症引起的气道扩张、结节空洞化或纤维病变牵引起的空腔扩大而形成。继发改变包括肺动脉高压,可以CT观测到如肺动脉干和左右肺动脉增


当年轻吸烟者在上肺同时出现结节和囊肿,且不累及肋膈区域时,PLCH 可被确诊。对于无结节伴发的单纯囊肿,虽然敏感性较低,可通过支气管镜确诊当在支气管肺泡灌洗液发现超过5% CD1a 阳性细胞或经支气管活检时即可确诊。在此情况下,外科肺活检提供了更高的诊断率。皮肤或骨骼病变的活检也可以确定PLCH 的诊断。


弥漫性肺囊性病变的鉴别诊断


1 肺朗格汉斯组织细胞增多症的CT 表现A 上叶不规则囊肿和边缘不规则的小叶中央结节( ) B不规则薄壁囊肿( 轴位)C不规则囊肿主要在上叶,且不累及肋膈区域( 冠状面)D不规则囊肿,一些小叶中心结节,左侧气胸( 轴位)


淋巴管平滑肌瘤病


(Lymphangioleiomyomatosis)


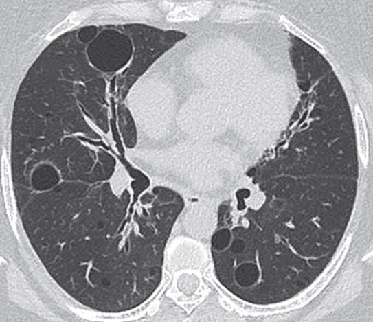
淋巴管平滑肌瘤病(LAM)是一种低度恶性肿瘤,最常发生育龄期妇女;LAM的特征是气道、血管和淋巴管周围不典型平滑肌细胞(LAM细胞)的增殖;LAM可以是一种独立的疾病,或与结节性硬化综合征有关,是由结节性硬化症1或2个基因突变引起的(7.8)。LAM最常见的呼吸表现包括运动时进行性呼吸困难和复发性气胸(高达70%的病例),以及较少见的咳嗽、咯血和乳糜胸(8)。LAM的囊肿通常是规则、薄壁的;通常直径为2-10毫米,广泛分布,数量不等,并被正常肺实质包围(图2A和2B)。(9)LAM囊肿的形成推测是由于LAM细胞在远端空腔扩张时阻塞终末细支气管,以及/或由于蛋白酶和蛋白酶抑制剂之间的不平衡导致肺实质降解。CT上还可发现间接征象,如气胸、肾血管平滑肌脂肪瘤、乳糜胸、乳糜腹水、腹部和盆腔淋巴血管平滑肌瘤(图2 C和D)。此外,还可出现规则的小叶中央结节,通常由多灶小结节性肺细胞增生引起,和不常见的磨玻璃影,继发于肺泡出血或淋巴管阻塞(3,9)。


LAM的诊断可通过HRCT发现其特有的囊肿,并伴有以下至少一种临床表现来确诊:结节性硬化症、肾血管平滑肌脂肪瘤、乳糜胸、乳糜腹水。当然,如果缺失上述任何特征,可以通过确定血清VEGF-D水平的升高来确定诊断,特别是当其水平高于800pg /ml时。如果无法定量测定血清VEGF-D水平或血清VEGF-D水平未升高,建议进行肺活检(最好是外科手术)。


弥漫性肺囊性病变的鉴别诊断


2 一位女性LAM患者的胸部CT A轴位和B位冠状 位:弥漫性壁规则肺囊肿。C一名女性淋巴管平滑肌瘤 患者的CT轴位显示双侧肾脏 密度不均匀肿块,血管平滑肌脂肪瘤。D女性 淋巴管平滑肌瘤病患者轴位的CT扫描,显示弥漫肺囊肿和左 乳糜胸。


淋巴细胞间质肺炎


(Lymphocytic interstitial pneumonia)


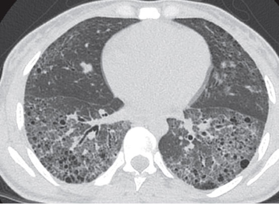
淋巴细胞间质性肺炎(LIP)是一种罕见的良性淋巴增生性疾病,其组织学特征为淋巴细胞和浆细胞浸润,影响肺泡和小叶间隔,并可能形成具有反应性生发中心的结节性淋巴样聚集体。LIP的发病率在女性中较高,通常在40岁到60岁之间。LIP通常伴有其他系统性疾病,特别是结缔组织疾病,如干燥综合征和系统性红斑狼疮、HIV感染、EB病毒感染、以及后天免疫缺陷,如常见的常见变异型免疫缺陷病。特发性LIP是很少见的。患者可无症状,LIP的主要临床表现为呼吸困难、咳嗽、乏力和胸痛(10,11)。肺功能检查表现为限制性通气障碍。


囊肿常见于约2/3的LIP患者,可能是由于血管阻塞引起缺血、阻塞后肺泡扩张或淋巴组织压迫细支气管,形成了活瓣结构。囊肿直径通常可达30mm,薄壁,形态各异,弥漫分布,主要分布于肺下叶和支气管血管束周围(图3)。其他有助于LIP诊断的CT改变包括磨玻璃影和局灶性实变、支气管血管束周围间质增厚和边界不清的小叶中心结节。更少见的是小叶间隔增厚、网状影、胸膜下结节引起的胸膜增厚,以及纵隔或肺门淋巴结肿大(2)。在没有明确诊断系统性疾病的情况下,建议通过组织学确诊LIP。


弥漫性肺囊性病变的鉴别诊断


3 。女性淋巴细胞间质性肺炎干燥综合征患者。胸部CT 扫描显示主要分布为肺叶的磨玻璃影、网状和囊肿。


滤泡性细支气管炎


(Follicular bronchiolitis)


滤泡性细支气管炎(FB)也是累及肺的淋巴增生性疾病谱系的一种,与LIP主要区别为细支气管中心淋巴细胞浸润,不浸润到肺间质;此外,滤泡性毛细支气管炎最常见的表现形式是气道阻塞引起的空气潴留(11)。囊肿形成的主要机制是外部压迫支气管相关的淋巴组织,引起活瓣现象,但也可能与血管阻塞引起的细支气管缺血有关。这些囊肿与LIP囊肿相似,主要分布在支气管血管周围,薄壁(图4),也可以出现小叶中心结节或磨玻璃影。


弥漫性肺囊性病变的鉴别诊断


4 女性滤泡细支气管炎患者的CT图像弥漫分布各种大小的薄壁囊肿,特别是沿支气管血管束周围的囊肿


BHD综合征


Birt-Hogg-Dubé syndrome


BHD综合征是一种罕见的常染色体显性遗传病,其特征为皮肤纤维瘤、肾肿瘤和肺囊肿。BHD综合征与由位于第17号染色体的FLCN基因杂合突变相关,这个基因编码肿瘤抑制蛋白。低度恶性的肾肿瘤的治疗是该综合征长期需要重点关注的。肺部表现,特别是肺囊肿形成和自发性气胸也是常见的。


大多肺囊肿多在在成人30-40岁左右发生;然而,文献报道肺囊肿在20至85岁均可见,并且在所有BHD综合征中几乎均有肺囊肿的表现(12,13)。Toro等报道198例BHD综合征患者中89%可见肺囊肿(12)。BHD综合征的肺囊肿呈多发、不规则、薄壁,主要分布在肺的下叶内侧和胸膜下区域,并且经常误诊为肺大泡(图5)。35%的病例有气胸家族史(12,13)。


年轻人以自发性气胸为表现的患者应怀疑BHD,特别是那些有气胸、皮损或肾肿瘤的个人或家族病史的患者(14)。BHD综合征的诊断标准分为主要标准和次要标准。主要标准:(1)5个以上的纤维毛囊瘤或毛盘瘤,其中至少有1个经过组织病理学证实,成年发病;(2)存在FLCN基因突变。次要标准:(1)双侧多发肺部囊性病变,无其他明确病因;有或者无自发性气胸病史;(2):发病年龄相对年轻的肾脏肿瘤(<50岁),双侧或者多发肾脏肿瘤,病理类型为混合性嗜酸性细胞瘤或嫌色细胞瘤;(3)1级亲属确诊BHD综合征。符合1条主要标准或2条次要标准即可诊断BHD综合征。


弥漫性肺囊性病变的鉴别诊断


5 A CT 轴位显示薄壁肺囊肿和右侧气胸。B, 冠状重建显示囊肿分布在下叶,以内侧为主。患者为49 岁女性,有突呼吸困难,被诊断为Birt-Hogg-Dube 综合症。


通过特征性肺囊肿和自发性气胸,并一级亲属BHD 的家族史确诊


轻链沉积病


Light-chain deposition disease


非淀粉样变性轻链沉积病(LCDD)的特点是单克隆蛋白沉积在多个组织和器官。与淀粉样变不同,这些沉积物不被刚果红染色,在电子显微镜下是无定形的结节状沉积物。最常累及肾脏,以蛋白尿和肾功能衰竭为表现,其次是心脏和肝脏受累。在所有LCDD病例中,75%的患者伴有多发性骨髓瘤或巨球蛋白血症。


轻链由浆细胞分泌,沉积在肺泡壁、小气道和血管中。最常见的CT表现包括结节、淋巴结肿大和直径达2cm的弥漫性薄壁囊肿(图6)。认为囊肿是由于蛋白在管壁沉积导致的气道扩张(15)。


弥漫性肺囊性病变的鉴别诊断


6 。患者为38岁女性,被诊断为多发性骨髓瘤、肾衰竭和轻链沉积性疾病相关的肺受累。胸部CT扫描轴位显示多发薄壁囊,伴有小叶间隔增厚和肺小结节。冠状面重建显示肺囊肿的解剖分布。


淀粉样变性


Amyloidosis)


淀粉样变是由于可溶性血浆蛋白在细胞外间隙以异常不溶性纤维状结构沉积造成的。淀粉样蛋白沉积的临床表现和预后取决于其病因和解剖分布。淀粉样变是极其多样化的,可以是良性的,也可以是致命的,可分为原发性(例如,多发性骨髓瘤或巨球蛋白血症)或继发性(例如,与类风湿关节炎、肺结核、克罗恩病、囊性纤维化或地中海热)。


肺淀粉样变的CT表现包括结节、小叶间隔增厚、磨玻璃影和淋巴结肿大。肺囊肿是罕见的,最常被描述为局部淀粉样变与干燥综合征相关。囊肿形成可能机制包括炎性细胞导致气道变窄,从而形成一种活瓣结构,以及淀粉样沉积或淀粉样浸润血管造成缺血而破坏脆弱的肺泡壁。囊肿是薄壁的,主要分布于外周,常伴有结节或肿块(图7)。淀粉样变的诊断是通过刚果红染色组织学,刚果红染色在交叉偏振光下产生绿色的双折射。(16.17)


弥漫性肺囊性病变的鉴别诊断


7 患者为56 岁女性,被诊断为干燥综合征和淀粉样变相关的肺受累。A CT 轴位显示几个薄壁、囊性结构,并伴有邻近结节,其中一些结节钙化。BCT 扫描的冠状面重建显示随机分布的肺囊肿和相关结节。


囊性肺转移瘤


Cystic pulmonary metastases)


囊性肺转移最常发生在上皮来源的肿瘤。在x线上发现的转移性结节的空洞概率约为4%(18)。鳞状细胞癌,尤其是头颈部的鳞状细胞癌(图8),是最常导致肺空洞性转移的恶性肿瘤(69%)(18,19),在转移性腺癌中也经常发现空洞。转移性肉瘤和良性转移性平滑肌瘤也会引起空洞,气胸也是其并发症之一,可有结节和肿块。需要注意的是,化疗也会引起空洞。空洞的机制被认为是肿瘤坏死或肿瘤浸润后继发的远端空腔扩张。最常见的转移是厚壁的空洞结节,但囊肿也可以在转移性肿瘤出现,特别是肉瘤和腺癌转移以及良性平滑肌瘤转移(20)。


弥漫性肺囊性病变的鉴别诊断


8 66 岁男性喉癌肺转移患者。轴位CT 扫描,显示有几个厚壁空结节和囊肿,并伴有包裹性胸腔积液。


感染性疾病


副球孢子菌病


Paracoccidioidomycosis


副球孢子菌病,由双相性真菌巴西副球孢子菌引起,是拉丁美洲最常见的系统性真菌病。


多见于男性和农村工人。


副球孢子菌病是通过吸入感染性真菌颗粒,这些真菌颗粒到达肺部引起原发性感染。常见的表现还有粘膜病变和淋巴结肿大,其他不太常见的发病器官包括肾脏、肝脏、骨骼、肾上腺、中枢神经系统和气道,在这些器官形成上皮样肉芽肿、脓肿和坏死(21)。


几种放射学特征已经被描述,包括网状影、实变、反晕征、支气管扩张、肺空洞和瘢痕旁肺气肿(22)。在50例CT检查中(4),10%的可见肺囊肿,囊肿多呈弥漫性、薄壁,无优势分布,数量少。推测囊肿形成的机制包括小叶中心纤维化引起的支气管阻塞,支气管周围肉芽肿形成导致气道扩张或中央坏死,或病变弹性回缩。


肺孢子


Pneumocystosis


由真菌耶氏肺孢子菌引起的肺孢子菌病,发生在免疫功能低下的患者中,如CD4淋巴细胞计数低于200个/mm3的艾滋病毒感染者、骨髓移植患者和使用免疫抑制剂的患者。症状隐匿,如干咳、低烧和呼吸困难,可发生自发性气胸,如果不及时治疗,患者可进展为呼吸衰竭和死亡。淋巴细胞减少和血清乳酸脱氢酶水平高有助于诊断(23)。


CT表现包括广泛的磨玻璃影,主要分布于中央和肺门周围区域、小叶间隔增厚、可能还有胸腔积液和淋巴结肿大。小叶内间隔增厚伴磨玻璃影可表现为“铺路石”征。囊肿较为常见,尤其在HIV感染者中,囊肿的大小、形状和壁厚各不相同,且好发于上叶(图9) (24、25)。囊肿破裂可导致气胸和纵隔气肿(24)。


弥漫性肺囊性病变的鉴别诊断


9 一名33 岁男性患者的CT扫描,HIV阳性,治疗依从性差。出现呼吸困难后发现感染孢子菌病。A: 轴位示弥漫性玻璃,散在支气管壁增厚及数个大小不同的细支气管周围囊性结构。冠状面重建显示肺囊肿分布于在细支气管周围。


金葡菌肺炎


Staphylococcal pneumonias


金黄色葡萄球菌肺炎可导致肺囊肿的形成,其中包括由活瓣结构引起的气道扩张所产生的空腔和继发炎症和实质坏死(1)。肺气囊最常见于1岁以下的患者和静脉注射吸毒者,随着感染的治疗,病变会逐渐消失(1,26)。


闭塞性细支气管炎


Constrictive bronchiolitis


闭塞性细支气管炎由纤维化引起的细支气管狭窄组成。其最常见的病因是病毒感染、自身免疫性疾病,如风湿性关节炎、器官或骨髓移植后的患者。闭塞性细支气管炎最常见的症状是进行性呼吸困难和干咳,从功能上讲,它的特征是阻塞和空气潴留。


在HRCT上,最常见的闭塞性细支气管炎改变包括马赛克征、细支气管扩张、支气管扩张和支气管壁增厚。囊肿罕见,数量少,薄壁,分布随机。一种由于气道阻塞而导致的活瓣结构,形成空气潴留和远端空腔扩张,被认为是囊肿形成的一个因素(5)。


过敏性肺炎


Hypersensitivity pneumonitis


过敏性肺炎(HP)是一种临床表现多样的间质性疾病,其特征是吸入特定的有机抗原(如真菌和鸟类衍生物)或化学物质(如异氰酸盐)后导致肺实质性炎症。进行性呼吸困难和干咳是最常见的症状。组织学上,亚急性和慢性特征主要是细支气管中心间质炎症和形成不良的肉芽肿; 此外,还可以有纤维化的形式,包括普通型间质性肺炎和非特异性间质性肺炎(28)。


HP的囊肿在CT上不常见,以亚急性和慢性囊肿为主,囊肿稀疏,数量少,分布随机(图10) (29)。肺囊肿并伴有典型的CT表现,如小叶中心的磨玻璃结节和马赛克灌注有助于HP诊断(25.28)。推测HP的囊肿形成与气道阻塞、空气潴留和远端气腔扩张有关。


弥漫性肺囊性病变的鉴别诊断


10 一位男性病人接触鸟类过敏性肺炎轴位CT 扫描亚急性期后,仍有散在的随机分布的肺囊肿。


脱屑性间质性肺炎


Desquamative interstitial pneumonia


脱屑性间质性肺炎(DIP)的特征是肺泡内大量巨噬细胞聚集并伴有炭末沉着。症状非特异性,包括咳嗽和呼吸困难。男性的DIP发病率是女性的两倍,发病年龄在50岁左右。大多数患者(> 90%)是吸烟者。虽然DIP也见于其他情况,如吸入无机颗粒和结缔组织疾病,特别是类风湿关节炎和进行性系统性硬化症。CT表现为散在的圆形小囊肿(直径最大达2cm)伴有弥漫性磨玻璃样影,尤其是肺下叶,通常伴有轻度结构扭曲(图11) (25,30)。


弥漫性肺囊性病变的鉴别诊断


11 一位女性病人,患有系统性硬化症外科肺活检证实为DIP CT轴位示:小囊肿夹杂着玻璃影和牵性细支气管扩张,双下为主


思 考


多种病因,如肿瘤性、炎症性或感染性疾病,都可导致弥漫性肺囊性病变的产生,其他可能病因也会被陆续提出。HRCT在分析患者的弥漫性肺囊性病变已经成为不可或缺的工具。囊肿的特点和分布,以及结合其他肺内及肺外表现,可能得出一个明确的诊断或缩小鉴别诊断范围,从而优化临床评估。


参考文献


略。


附原文:


弥漫性肺囊性病变的鉴别诊断


弥漫性肺囊性病变的鉴别诊断


弥漫性肺囊性病变的鉴别诊断


弥漫性肺囊性病变的鉴别诊断


弥漫性肺囊性病变的鉴别诊断


弥漫性肺囊性病变的鉴别诊断


弥漫性肺囊性病变的鉴别诊断


弥漫性肺囊性病变的鉴别诊断


弥漫性肺囊性病变的鉴别诊断


弥漫性肺囊性病变的鉴别诊断


了解本文详情并参与讨论,请点击下方“阅读原文” 。更多资讯,请登录(www.Tbwindow.com),胸科之窗网站检索和查阅。


图文编辑:刘宏宇



路过

雷人

握手

鲜花

鸡蛋
已有 0 人参与

会员评论

 名表回收网手机版

官网微博:名表回收网服务平台

今日头条二维码 1 微信公众号二维码 1 抖音小程序二维码 1
浙江速典奢贸易有限公司 网站经营许可证 备案号:浙ICP备19051835号2012-2022
名表回收网主要专注于手表回收,二手名表回收/销售业务,可免费鉴定(手表真假),评估手表回收价格,正规手表回收公司,浙江实体店,支持全国范围上门回收手表
返回顶部